
여러분들은 선한 사마리아인 법을 알고 계신가요? 몰랐던 분들이더라도 이번 이태원 압사 참사와 관련하여 일부 남성들이 여성에게 CPR하기를 주저했다는 내용을 본 적이 있을겁니다. 그런 것과 관련하여 각종 인터넷 커뮤니티는 계속 논쟁을 벌였습니다. 그렇다면 구체적으로 어떤 법이고 어떤 내용인지 살펴보도록 하겠습니다.

일단 10월 30일 위와 같은 뉴스가 올라오면서 각종 인터넷 커뮤니티에서 논쟁이 붙었습니다. 물론 해당 뉴스의 내용을 살펴보면 객관적인 이야기는 없으며, 단순히 인터넷 커뮤니티 중 하나인 블라인드에 올라온 한 가지 썰만으로 구성한 것입니다. 저게 사실인지 아닌지는 모르겠지만 실제 현재 인터넷 상에서의 남녀갈등은 계속 심화되고 있기 때문에 이런 논쟁이 나온 것이 아닐까 싶습니다.












해당 논쟁은 '나라도 생판 모르는 여성에게 CPR하기는 주저할 것 같다', '자칫해서 의협심에 CPR을 하다가 자칫 성 범죄자로 몰려 인생이 나락으로 갈 수 있다' vs '그래도 사람 목숨을 살리는게 먼저 아니냐'로 나뉘고 있습니다. 이런 논쟁이 심화되면서 선한 사마리아인 법을 말하면서 선의로 제공한 응급의료 등으로 인해 발생한 손해 및 사상에 대해서는 민사 및 형사책임을 면제하고, 사망에 대한 형사책임은 '감면'하도록 하고 있다는 것을 어필합니다.

그렇다면 선한 사마리아인 법은 구체적으로 무엇일까요? 이는 성경에서 예수가 한 선한 사마리아인의 비유에서 따온 법 개념으로 현재는 미국이나 캐나다 등 많은 나라에 입법화되어 있습니다. 내용을 크게 살펴보면 '위급한 상황에 처한 다른 사람을 돕다가 의도하지 않은 불의의 상황에 처하더라도 정상참작 또는 면책을 받을 수 있다', '타인을 구조하는 과정에서 자신에게 위험한 상황이 초래될 가능성이 없음에도 불구하고 위급한 상황에 처한 다른 사람을 돕지 않을 경우 처벌이 가능하다' 이렇게 두 가지 입니다.



우리나라의 경우도 과거 일제강점기에는 일본 형법이 적용되어 선한 사마리아인법이 있었다가, 일본으로 해방되고 우리나라 형법이 만들어지면서 해당 조항이 사라졌었습니다. 그러면서 선한 사마리아인 법이 없던 시절 선의로 구해주었더니 오히려 고소를 하는 사건이 있어서 2008년 6월 응급의료에 관한 법률이 개정되었고, 같은 해 12월에 적용되었습니다. 내용은 다음과 같습니다.

짧게 요약하면 '일반인이 생명이 위험한 응급환자에게 응급의료 처치 과정으로 도움을 주었을 때, 응급의료 처치로 인한 손해, 상해에 대해 민사책임, 형사처벌을 받지 아니하고 사망에 대해 처벌 수준이 감경된다는 법입니다. 이게 국내의 선한 사마리아인 법이죠.

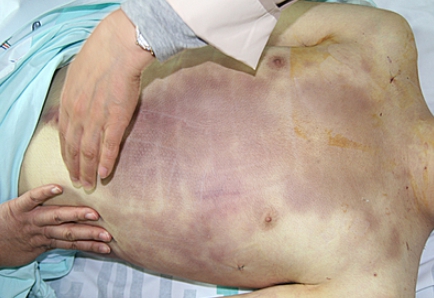
이런 선한 사마리아인 법이 있는데도 응급환자가 여성인 경우 남성들은 주저합니다. 사실 일반적인 사람들이라면 생명이 구해진 것에 감사를 표하거나, CPR에도 불구하고 사망했더라도 예를 표하는게 정상입니다. 일단 CPR을 할 때에는 환자의 상의를 벗기는 경우가 많습니다. 상의 주머니에 들어있던 물품이나 단추, 브래지어가 흉부를 압박을 방해할 수도 있기 때문이죠.

거기에 심폐소생술은 흉부에 압박을 가할 때 흉곽이 5~6cm나 들어가도록 눌러야되는데, 본인이 본인 흉곽을 눌러보면 알겠지만 5~6cm 깊이로 압박되려면 어마어마한 힘이 가해져야 합니다. 따라서 CPR을 하면 흉부에 멍이 드는 것은 당연하고, 늑골이 골절되는 경우도 흔합니다.


이러한 이유들로 인해 남성들은 만약 CPR로 여성 환자를 살려냈어도 '브래지어를 벗기고 가슴을 만졌다, 성추행 아니냐?', '누가 늑골을 부러뜨리라 했냐, 상해죄로 고소하겠다' 등의 말이 나올까 두려워하는 것이죠. 물론 선한 사마리아인 법이 있기는 합니다만, 만약 사람을 살려놓고도 감사인사를 받기는 커녕 오히려 고소를 당하고 무죄가 나올 때 까지 법원에 들락거려야 한다는 것은 어마어마한 스트레스로 작용합니다. 물론 그런 몰상식한 사람들이 많이 있을거라 생각은 하지 않지만, 그런 일이 발생하지 않을 것이라는 보장도 없기 때문에 주저하는 것이죠.

가장 좋은 방법은 법을 개정하는 것입니다. 뭐, 응급환자에 가한 응급의료행위가 올바른 처치였을 경우 고소를 당해도 면책된다같은 강력한 법이 말이죠. 말이야 간단하지만 해당 응급의료행위가 올바른 처치인지 아닌지 어떻게 판단할 것인지, 또한 어디까지를 응급환자로 볼 것인지 등 구체적으로 손봐야 할 내용은 많지만, 잘 개정되서 나오면 남성들도 여성들에게 CPR을 주저하지 않고 할 수 있게 되겠죠.


앞부분 뉴스에서는 남성들이 여성들에게 CPR을 하는 것을 주저했다고 나오는데, 해당 뉴스는 어디까지 인터넷 커뮤니티의 내용을 그대로 언급한 것입니다. 실제로는 많은 사람들이 성별에 관계없이 목숨을 구하기 위해 CPR을 시행했을거라 생각하고(참고), 여성이라 주저한 것 보다 처음 눈 앞에 펼처친 지옥과도 같은 광경으로 인해 주저한 것이 아닌가 싶습니다. 참사 현장을 영상이나 사진으로만 봐도 무서운데 현장에 있는 사람들이라면 더더욱 그러했을거라 생각합니다. 이를 남녀 갈라치기로 이용하지 않기를 바랍니다.
CPR이 굉장히 어렵다고 생각하는 분들이 많은데, 생각 외로 하는 방법은 그렇게 어렵지 않습니다. 다만 흉부를 압박할 때 진짜 온 힘을 다해 늑골이 부러질 정도로 눌러야 되는게 힘든 것이죠. 그렇기 때문에 보통은 두 사람에서 2분씩 번갈아가면서 하는게 제일 이상적인 CPR이라고 합니다. 다들 CPR 방법 숙지하고, 위급 상황에서 잘 활용할 수 있으면 좋겠습니다.

남녀갈등문제가 해결될 기미는 커녕 계속 심화되고 있고, 그로 인해 이러한 상황까지 온게 아닌가 싶습니다. 다들 서로를 물어뜯기보다는 화합하면 좋겠네요. 그러면 이번 포스팅은 여기서 마무리하도록 하고 다음번에는 또 다른 글로 다시 찾아오도록 하겠습니다. :)
| 용산경찰서 정보계장 극단적 선택, 숨진 채 발견 (0) | 2022.11.11 |
|---|---|
| 트위치 VOD(클립, 다시보기) 중단 (feat. 망사용료 논란) (0) | 2022.11.11 |
| 이태원 압사 사건, 바니걸/유명인? (0) | 2022.10.30 |
| 티스토리 블로그 네이버 노출 급감 (0) | 2022.10.24 |
| SPC 계열사 목록, 불매운동 가속화 (0) | 2022.10.23 |